Schädel-Hirn-TraumaSymptome, Folgen und eine neue Diagnostik-Methode

BIKE

 · 19.08.2022

Schädel-Hirn-Trauma: Symptome, Folgen und eine neue Diagnostik-MethodeFoto: Max Schumann
Es muss gar nicht mal so spektakulär sein wie im Bild. Bei jedem MTB-Sturz, bei dem der Kopf irgendwo zu hart aneckt, besteht die Gefahr eines Schädel-Hirn-Traumas. Vor allem in den leichten Fällen, zeigen klassische Diagnostik-Methoden vielleicht keine Verletzungen - die Verunfallten haben dennoch anhaltende Beschwerden. Ein neues Verfahren aus der Schweiz kann jetzt helfen.
Am Wochenende hat es zwei Unfälle im Bikepark Winterberg und einen im Bikepark in Schmallenberg-Gellinghausen gegeben. Dabei sind eine Frau und zwei Männer schwer verletzt worden: Eine 20-jährige Niederländerin, ein 51-jähriger Mann aus Lemgo sowie ein 61-jähriger Mann aus Werneuchen. Alle Verletzen mussten nach Angaben der Polizei mit dem Rettungshubschrauber in Kliniken geflogen werden. Am vergangenen Wochenende verletzte sich ein 12-jähriger Junge bei einem Unfall im Bikepark Winterberg schwer. – radiosauerland.de

Leider gibt es immer wieder diese oder ähnliche Meldungen – aus Bikeparks, aber genauso von den Bike-Trails - von den Unfällen im Stadtverkehr ganz zu schweigen. Dank Protektoren und Sturzhelm sind wir heutzutage schon deutlich besser geschützt. Eine oberflächliche Schürfwunde oder ein Knochenbruch heilt meist rasch mit mehr oder weniger ärztlichem Zutun. Bei Stürzen auf den Kopf kann dies ganz anders aussehen. Wir alle erinnern uns mit Schrecken an den schweren Unfall von Formel-1-Pilot Michael Schumacher 2013. Diese sogenannten Schädel-Hirn-Trauma (SHT) sind häufig. In Deutschland erleiden pro Jahr etwa 270.000 Menschen ein SHT (Angaben der Deutschen Gesetzlichen Unfallversicherung) - in der Schweiz sind es über 25.000 derartige Unfälle (Schweizerische Neurologische Gesellschaft). Aber nicht alle Unfälle werden berichtet oder dokumentiert, sodass die tatsächliche Anzahl wohl noch deutlich höher ist.

Jeder Sturz mit dem Bike ist vom Hergang, vom Schädigungsmechanismus und der Krafteinwirkung einzigartig, gleich ist aber bei diesen Verletzungen das Prinzip einer abrupten Be- oder Entschleunigung, deren Energie trotz Sturzhelm, MIPS und Co sowie den eigenen Schädelknochen auf das Gehirn übertragen wird.

Symptome eines Schädel-Hirn-Traumas

In der Medizin wird zur Abschätzung des Schweregrades einer Kopfverletzung die sogenannte Glasgow-Coma-Scale (GCS) verwendet. Hier werden bei der initialen Untersuchung dafür Punkte vergeben, wie sich die Symptome auswirken. Es wird untersucht, ob die oder der Verunfallte spontan die Augen öffnet, für geringe Einschränkungen der Beweglichkeit ("beste motorische Antwort") und adäquate Beantwortung von Fragen ("beste verbale Antwort").

Meistgelesene Artikel

1

2

3

Thomas hatte zum Glück einen Helm an, der einiges abgehalten hat. Trotzdem hat er Beschwerden.Foto: Prof. S. UlmerThomas hatte zum Glück einen Helm an, der einiges abgehalten hat. Trotzdem hat er Beschwerden.

13-15 Punkte kennzeichnen ein leichtes Schädel-Hirn-Trauma, das in der Regel weder eine neurochirurgische noch eine intensivmedizinische Betreuung erfordert. Kommt es im Rahmen der Unfallabklärung dennoch zur Vorstellung in einer Notaufnahme wird häufig eine Computertomographie (CT) veranlasst, um auch bei leichten SHT unfallbedingte Verletzungen (z. B. kleinere Blutungen) auszuschließen (der Arzt spricht von complicated mild trauma).

Wie gefällt Ihnen dieser Artikel?

Weitere in der Medizin verwendete Begriffe bei Kopfverletzungen sind:

  1. Contusio capitis (Kopf- / Schädelprellung), als mildeste Form der Verletzung, bei der die unfallbedingte Krafteinwirkung komplett vom (Helm und) Schädelkochen abgefangen wird.
  2. Commotio cerebri (Gehirnerschütterung), die gekennzeichnet ist durch eine kurze Bewusstseinsstörung, eine Gedächtnislücke für den Unfall, häufig Übelkeit und meistens (zeitlich verzögerte) Kopfschmerzen.
  3. Contusio cerebri (Gehirnprellung) mit länger als 10 Minuten anhaltender Bewusstseinsstörung / Bewusstseinsverlust und entsprechend ausgeprägteren Beschwerden. Hier ist es gut, einen Buddy oder zumindest einen Crash-Sensor dabei zu haben, der dann weitere Details zum Unfallhergang und den unmittelbaren Beschwerden Auskunft geben kann. Da sich die Behandlungen in Abhängigkeit von der Schwere der Schädigung unterscheiden, ist natürlich jede Information hilfreich.

Kopfschmerzen bis Gedächtnisstörung – auch leichte SHT sind ernst zu nehmen

Ein "leichtes SHT" nach einem Crash mit dem Mountainbike ist für die Betroffenen nicht automatisch ohne Symptome. Langanhaltende oder gar tägliche Kopfschmerzen, Schlafstörungen, Schwindel, Leistungsminderung, Konzentrations- und / oder Gedächtnisstörungen sind typische Beschwerden, von denen Verunfallte berichten. Da bei diesen leichteren Kopfverletzungen häufig die ursprüngliche Diagnostik und klinische Untersuchung wenig auffällig ist, bleiben dann "nur" die Angaben des Verunfallten selbst. Dies kann dann zu einem Problem werden, wenn nach einem länger zurückliegenden Unfall die Arbeitsfähigkeit immer noch nicht wieder hergestellt ist. Hier können entsprechende Fachärzte – nicht nur für Profisportler – weiterhelfen.

Schädel-Hirn-Trauma – ein Erfahrungsbericht

Thomas ist mit dem MTB auf dem Trail seiner Hausrunde gestürzt. Gebrochen hatte er sich nichts. Die Schulter und Hüfte schmerzen ein wenig. Wie es passiert war, konnte er nicht sagen. Er weiß nur noch, dass er auf dem Boden saß und sich fragte, wie er hier gelandet war?! Dann fiel es ihm zumindest wieder ein: Er war auf dem Trail, den er schon unzählige Male gefahren ist. Auch heute noch hat er einen "Filmriss" zu dem Ereignis, das schon ein halbes Jahr zurückliegt. Thomas hat seitdem öfter Kopfschmerzen. Auch die Konzentration hat nachgelassen, und er fühlt sich weniger leistungsfähig als vor dem Bike-Unfall. Subjektiv ist seine Kraft im rechten Bein etwas schwächer und er hat ab und zu Sehstörungen.

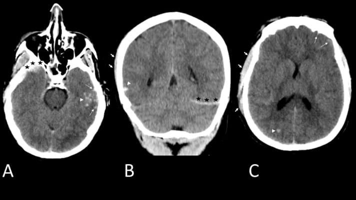
Computertomogramm (CT - ohne Kontrastmittel) des Kopfes eines jungen Mannes nach Schädel-Hirn-Trauma. Man sieht einen Bluterguss (dicke Pfeile in B und C) in und unter der Haut an der Schläfe. Im Schädel (unterhalb der schwarzen Sterne in A und B) findet sich ein Bluterguss zwischen Gehirn und Gehirnhaut. Man sieht auch Blut zwischen den Hirnfurchen (schlanke Pfeile in A und C) und im Hirngewebe selbst (Pfeilspitzen in A-C).Foto: Prof. S. UlmerComputertomogramm (CT - ohne Kontrastmittel) des Kopfes eines jungen Mannes nach Schädel-Hirn-Trauma. Man sieht einen Bluterguss (dicke Pfeile in B und C) in und unter der Haut an der Schläfe. Im Schädel (unterhalb der schwarzen Sterne in A und B) findet sich ein Bluterguss zwischen Gehirn und Gehirnhaut. Man sieht auch Blut zwischen den Hirnfurchen (schlanke Pfeile in A und C) und im Hirngewebe selbst (Pfeilspitzen in A-C).

Verschiedene Symptome, aber keine abschließende SHT-Diagnose

Die Ärzte finden dagegen keine Auffälligkeiten. Er hatte direkt nach dem Unfall eine Computertomographie (CT) vom Kopf machen lassen - und bei anhaltenden Kopfschmerzen dann noch eine Magnetresonanztomographie (MRI), die beide ohne auffällige Befunde waren. "Posttraumatisch Belastungsstörung" und "Depression" hatten die Ärzte angesprochen… das kam für den aktiven Radsportler überhaupt nicht in Frage. Zum Glück arbeitet eine Freundin von Thomas im Gesundheitswesen. Sie hatte von einer bestimmten MRI-Methode gehört, die Verletzungen des Gehirns bei SHT besser erkennen kann, als die sogenannte "konventionelle Bildgebung", die bei Thomas schon gemacht wurde.

Ein Schädel-Hirn-Trauma ist sehr individuell – eine neue Diagnostik-Methode geht darauf ein

Zwei unterschiedliche Techniken, die vor allem in der Forschung, mittlerweile auch zur prä-operativen Planung in der Neurochirurgie verwendet werden, kommen zum Einsatz. Diffusion Tensor Imaging (DTI) misst eine mikrostrukturelle Schädigung, die zweite, Functional Magnetic Resonance Imaging (fMRI) misst die Funktionalität des Gehirns über seine Fähigkeit, Sauerstoff aus dem Blut aufzunehmen. Professor Mike Noseworthy (Vizedirektor für Radiologie in Hamilton, Canada) und sein Team verwenden diese neue Methode bereits seit einiger Zeit gerade bei Verletzungen von Eishockeyspielern oder nach Verkehrsunfällen. "Seit über 20 Jahren gibt es Studien und Daten bei vor allem (semi-)professionellen Sportlern in Kontaktsportarten wie American Football, Boxen oder Eishockey, die Schädigungen im Gehirn nach einem Sturz (Bodycheck oder knock-out) haben. Wir wissen, dass die klassische konventionelle Bildgebung dafür nicht empfindlich genug ist", sagt Prof. Noseworthy. "Die Daten dieser jungen Profisportler sind aber nicht einfach auf den Verunfallten im mittleren Lebensalter 1:1 übertragbar. Wir vergleichen das individuelle Gehirn mit einer MRI-Bilddatenbank gesunder Gleichaltriger. Denn unser Gehirn verändert sich im Laufe des Lebens, und es gibt Unterschiede zwischen Frauen und Männern".

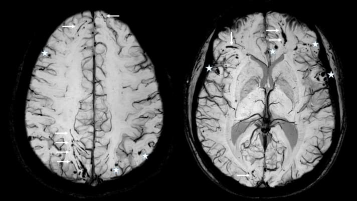
MRT eines Schädel-Hirn-Traumas mit der Suzeptibilitäts-gewichteten Technik (SWI): Neben den punktförmigen Einblutungen im Hirngewebe (weiße Sterne) findet man weitere Rissverletzungen (sogenannte Scherverletzungen, weiße Pfeile), die man u. U. nur in dieser Technik und auch noch Jahre nach einem Unfall finden kann. Entsprechend wo sie auftreten, entstehen entsprechende Beschwerden. Aufgrund des berichteten Unfallhergangs war das Schädel-Hirn-Trauma nur als “leicht” eingestuft worden - bei diesem Patient war daher kein MRT oder CT gemacht worden.Foto: Prof. S. UlmerMRT eines Schädel-Hirn-Traumas mit der Suzeptibilitäts-gewichteten Technik (SWI): Neben den punktförmigen Einblutungen im Hirngewebe (weiße Sterne) findet man weitere Rissverletzungen (sogenannte Scherverletzungen, weiße Pfeile), die man u. U. nur in dieser Technik und auch noch Jahre nach einem Unfall finden kann. Entsprechend wo sie auftreten, entstehen entsprechende Beschwerden. Aufgrund des berichteten Unfallhergangs war das Schädel-Hirn-Trauma nur als “leicht” eingestuft worden - bei diesem Patient war daher kein MRT oder CT gemacht worden.

Er hat daher mit seinem Team über die Jahre eine stetig weiterwachsende Datenbank bestehend aus MRI-Daten von aktuell über 17.000 Gesunden gesammelt, um individuell das Gehirn des Betroffenen mit der entsprechenden Gruppe Gesunder vergleichen zu können. "Individualisierte persönliche Medizin" nennt Prof. Noseworthy seinen Ansatz. Zusammen mit Prof. Stephan Ulmer, Facharzt für Gehirnbildgebung (Neuroradiologie) in Zürich, haben sie die Plattform 0800Gehirn gegründet, um Verunfallten, wie in unserem Fall Thomas, zu helfen. Bei ihm zeigten sich tatsächlich Veränderungen, die seine Beschwerden gut erklären konnten.

Neue Diagnostik-Methode zeigt Verletzungen am Gehirn in Farbskala

Die hochsensitive Magnetresonanztomographie (MRT) war bei Thomas ohne Befund. Erst mit dieser neuen Methode stellte sich bei Thomas heraus, dass es Verletzungen im hinteren Bereich des Gehirns gab (Sehfelder, sogenannter visueller Cortex). Daneben war auch das motorische System (Bewegung) betroffen. Durch höhere Auflösung in der Auswertung kann man dann die genaue Lokalisation im jeweiligen System darstellen. So fand sich eine Störung genau in dem Bereich des Gehirns, das die Bewegungen des Beines steuert – passend zu seiner subjektiven Kraftminderung im Bein. Neben seiner großen Erleichterung, nun endlich eine Diagnose zu haben und ernstgenommen zu werden, kann nun seine Physiotherapie auch entsprechend angepasst werden.

Ergebnisse der neuen individualisierten Bildgebung. In einem ersten Schritt werden mit der neuen Methode die betroffenen Systeme farbig kodiert aufgezeigt. Gering veränderte Bereiche werden in gelb angezeigt und je ausgeprägter die Veränderung ist, desto dunkler rot wird das betroffene System der Anatomie abgebildet.Foto: Prof. S. UlmerErgebnisse der neuen individualisierten Bildgebung. In einem ersten Schritt werden mit der neuen Methode die betroffenen Systeme farbig kodiert aufgezeigt. Gering veränderte Bereiche werden in gelb angezeigt und je ausgeprägter die Veränderung ist, desto dunkler rot wird das betroffene System der Anatomie abgebildet.

Ob die Krankenkasse zahlt, ist leider ungewiss

Diese spezifische Diagnostik-Methode bei einem vermuteten Schädel-Hirn-Trauma steht zwar auch Menschen aus Österreich oder Deutschland offen. Fraglich ist aber die Kostenübernahme der Krankenkasse, vor allem bei gesetzlich Versicherten. Die Züricher Ärzte um Professor Ulmer stellen immer individuell eine Kostenübernahmeanfrage an die jeweilige Krankenkasse. Oft können sie nur einen Teil der Untersuchung der Kasse in Rechnung stellen, der Patient trägt eine Selbstbeteiligung – ähnlich wie bei einer Zahnbehandlung. Leider ist damit für einen Teil der Verunfallten eine solche Diagnose aus Kostengründen recht schwierig. Aber: Wenn jemand über Monate hinweg ungeklärte Beschwerden hat, wie Kopfschmerzen, Gedächtnis- oder Schlafstörungen, ist die Investition in einen Besuch der Schweizer Neuroradiologie eine Überlegung wert.

In jedem “Fall” gilt: Bei Kopfschmerzen, Übelkeit oder irgendwelchen Ausfällen sofort zum Arzt und abklären lassen, ob das Hirn einen Schlag abbekommen hat.Foto: Wolfgang WatzkeIn jedem “Fall” gilt: Bei Kopfschmerzen, Übelkeit oder irgendwelchen Ausfällen sofort zum Arzt und abklären lassen, ob das Hirn einen Schlag abbekommen hat.

Meistgelesen in der Rubrik Ausrüstung